Our Services

Our Services

Informed Patients

Brandon Dental Care believes that informed patients are better prepared to make decisions regarding their health and well being. That is why we’ve included an extensive section on this web site covering the full array of topics associated with dentistry and dental diagnoses and treatments. We encourage you to look through these pages whenever you have an interest or concern about your dental needs and care.

Dental care by experienced dentists at Brandon Dental Care in Tupelo, MS.

Cosmetic Dentistry

Smile Makeovers

Imagine being liberated from the insecurities resulting from faulty dental work or stained and chipped teeth. With Dr. Brandon’s help you can have a new smile sure to stand out and boost your confidence.

New materials and techniques allow us to restore a person’s smile. As the top cosmetic dentist in our area, Dr. Brandon has the training and experience necessary to create beautiful, natural-looking smiles.

Dr. Brandon has successfully created hundreds of new smiles over 13 years. Take a look at the before and after section of this site for several examples. Call today for your free cosmetic consultation.

Veneers

If you weren’t born with a perfect smile, and you want a smile that projects your true personality, then porcelain veneers may be the answer. Veneers are a thin shell of porcelain that is bonded to your teeth. Veneers enable us to change the color, shape, and alignment of your teeth in only two visits.

Veneers are durable and maintain their shape, size and color for many years. They can be used to improve spacing, crowding, broken or discolored teeth. The change can be dramatic. When you look good, you feel good and people notice. This boost in self confidence can be life changing. Call today for a free consultation.

Deep Bleaching

A quick method to an outstanding smile is through different teeth whitening techniques. There are countless over the counter products on the market. While these products may provide temporary or minor results, the best solution is professional teeth whitening from a dentist.

At Brandon Dental Care, we use a combination of at-home and in-office whitening called deep bleaching. Deep bleaching is far and away the best technique Dr. Brandon has found for bleaching discolored teeth. Our bleaching process includes two one-hour in office visits, and three weeks of at-home whitening to brighten your teeth up to 13 shades whiter, with little to no pain. Call today for a free consultation.

Dental care by experienced dentists at Brandon Dental Care in Tupelo, MS.

Implant Dentistry

Revolutionize Your Smile with Dental Implants

Millions of people lack self confidence and have various complications because of missing teeth. Tooth loss can cause many serious complications including bone loss, shifting or losing surrounding teeth and even admonishing the ability to chew. These problems can occur immediately or over time.

Implants can be placed in areas with little bone thanks to our new 3D ConeBeam digital imaging system. It allows us to pre-plan exactly where to insert the implant. We can also perform immediate restorations in some case. This means that we can put a tooth on your implant the same day.

We only use the world leader in implant research, Nobel Biocare, to ensure you receive our promise of quality care.

Dental Implant Benefits

  • Natural-Looking Tooth Replacement

    Dental implants are the best way to replace teeth because they look, feel and function like natural teeth.

  • Preserve Your Neighboring Teeth

    They do not negatively affect the neighboring teeth because unlike a bridge, they do not connect to other teeth.

  • A Long-Lasting Solution

    Dental implants are a long-term solution. Ninety-five percent of users still have the original implants 20 years after placement.

  • Secure Dentures for Confidence

    Implants are sometimes used to stabilize dentures allowing a more carefree lifestyle.

Tired of Loose Dentures?

Dental implants could be the answer. Implants can be used to stabilize dentures and help hold them in place so you can enjoy your food and not have to worry about your dentures falling out.

Dental care by experienced dentists at Brandon Dental Care in Tupelo, MS.

General Dentistry

Struggling with Dental Pain?

Lorem ipsum dolor sit amet, consectetur adipiscing elit. Ut elit tellus, luctus nec ullamcorper mattis, pulvinar dapibus leo.

Gums

Most people worry so much about their teeth that they forget about their gums. When gums are constantly overlooked and ignored, it can lead to disease and infection. The fact is that gum disease is the silent killer of teeth, leading to bad breath and tooth loss. Numerous studies provide evidence linking gum disease and other harmful conditions throughout the body. Some of these include heart disease, pancreatic cancer, diabetes, colon cancer and low birth weight in babies.

More specifically, gum disease is a bacterial infection in the space between your teeth and gums. If left untreated this infection can get in the blood stream and cause systemic diseases like the ones listed above. Another unfortunate symptom of gum disease is bad breath. Depending upon the severity, treatment can be as simple as a professional cleaning or as complex as gum surgery. The first step is to diagnose the problem through x-rays. The result of the x-ray will also help us decide on a proper treatment plan.

Gum disease is completely preventable through routine cleanings and checkups. Call us today to setup an appointment.

For more information about gum disease, visit ADA.org

Grinding

Withering teeth or jaw pain after a restless night’s sleep can be a result of grinding your teeth — often unknowingly. Grinding is most often caused by stress, incorrect bite or skeletal problems. Just like sanding does to a wall, grinding wears down your tooth’s natural structure as well as cause painful fractures and expose sensitive nerves. Grinding can also cause you to develop chronic jaw pain known as TMJ (Temporomandibular Joint Disorder).

We work with you to create a treatment plan that best fits your degree of damage. However, the most effective and convenient way to treat grinding is by wearing a night guard while you sleep. Night guards are made of an acrylic material that fits comfortably over the upper teeth. It helps protect your teeth from the forces of grinding and also keeps your jaw relaxed throughout the night. For more severe cases we recommend more extensive work such as root canals or crowns.

Cavities

Cavities come in all shapes and sizes. They are caused by bacteria which feed off food and sugar left on the teeth after eating. The bacteria produce acid that eats a hole in your tooth. The larger and deeper the cavity becomes, the harder and more complicated it is to restore the tooth to it’s natural strength and shape.

If caught early, a simple filling can be done to restore the tooth. Sometimes a filling can be done without anesthesia (no shots) using a laser. If the cavity is not caught before it enters the nerve chamber, a root canal and crown may be necessary to restore the tooth. This is why regular visits to the dentist are necessary. Most cavities don’t hurt until they get deep into the tooth. You may be unaware there is a cavity. With regular dental checkups, including x-rays, we can catch them early.

Treatments We Offer

Root Canals

Root canals can inspire fear with every mention, but in truth it is often the most effective way to reduce extreme tooth discomfort. Our specialty is providing a comfortable and pain-free experience through new techniques and personal care and attention. During the procedure, we remove the diseased tissue and leave the natural tooth intact. After the root canal is complete, patients generally report a dramatic decrease in pain.

Myths & Truth About Root Canals:

Myth: Root canals hurt.
Truth: You are numbed prior to the procedure and don’t feel a thing.

Myth: The roots are removed.
Truth: The roots remain, and only the nerve inside the root is removed.

Myth: Root canals result in a dead tooth.
Truth: Even though the nerves are removed, the tooth is still alive and has living tissue around the outer part of the tooth.

Myth: Root canals don’t last.
Truth: Research indicates that over 90% last longer than 17 years.

Crowns

When a larger amount of tooth is missing, a porcelain onlay, or crown, is necessary to restore the tooth. Crowns encapsulate the damaged tooth and nerves to keep you from feeling pain or discomfort. We ensure that the crown is made specifically to fit your tooth in a dental lab under controlled conditions.

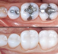
Traditional silver fillings replaced with tooth colored fillings.
Traditional silver fillings replaced with tooth colored fillings.

Fillings

To treat a cavity Dr. Brandon will remove the decayed portion of the tooth and then “fill” the area on the tooth where the decayed material once lived. Fillings are also used to repair cracked or broken teeth and teeth that have been worn down from misuse (such as from nail-biting or tooth grinding ).

Unlike the noticeable silver fillings of the past, we use only tooth colored resin filling material for all small fillings. This material is bonded to the tooth to create a long-term, natural looking filling. The shade/color of the composites can be closely matched to the color of existing teeth. This is particularly well suited for use in front teeth or visible parts of teeth.

Laser Dentistry

Continuing advances in dental technology can have a direct impact enhancing a patient’s experience. We perform many procedures with the Waterlaser MD dental laser. Using water and laser energy, it enables us to remove decay and repair some cavities without anesthetic. This non-invasive technique comforts children and adults to create a relaxing, painless and memorable experience.

Lasers can be used for:

  • Repairing Small Cavities
  • Adjusting Crown Length
  • Trimming Excess Or Diseased Gum Tissue
  • Treating Infections Without Anesthetic
  • Treating Mouth Ulcers
Dental care by experienced dentists at Brandon Dental Care in Tupelo, MS.

invisalign®

Straighten Your Teeth Discreetly

Invisalign is a series of clear, removable teeth aligners used as an alternative to traditional metal braces. The aligners are completely transparent, therefore far more difficult to detect than traditional wire and bracket braces. We find Invisalign to be most popular among adults requiring braces to straighten teeth. Because the aligners can be removed for eating and cleaning, they are much healthier and more comfortable than braces.

Dr. Brandon is a certified provider of Invisalign. Call today for a consultation.

Dental care by experienced dentists at Brandon Dental Care in Tupelo, MS.

Preventive Care

Keep Your Gums Healthy

Keep your smile healthy and bright with preventative care at Brandon Dental. From routine exams to fluoride treatments, we focus on stopping problems before they start. Preventing gum disease, cavities, and other issues is the smartest way to stay on top of your dental health.

Cleaning

Scheduling a regular cleaning to keep your smile looking it’s best!

Most dentists recommend scheduling a professional teeth cleaning every six months. This routine helps:

  • Prevent cavities and gum disease
  • Remove plaque and tartar buildup
  • Catch potential issues early
  • Keep your smile looking its best

However, some people—especially those with gum disease, braces, or other oral health concerns—may need cleanings more frequently, such as every 3–4 months. Your dentist or hygienist can recommend the right schedule for you.

Book Your Preventive Care Visit Now!

Questions?

Call us at 662.842.0212 or fill out the form below.

"*" indicates required fields