Quality Care
Welcome to Brandon Dental Care
At Brandon Dental Care, our priority is to deliver quality care to informed patients in a comfortable and convenient setting.
When you have dental problems, you need to turn to a friendly, experienced dentist who listens and responds, knows the field and can quickly diagnose and treat your needs. Quality care also means counseling you on the best ways to maintain and improve your teeth.
Why Work With Us?
- 15+ Years Experience
- Quality Care
- Comfortable, Convenient Setting
- Personal Service
Comprehensive Dental Services
Treatments Designed To Meet Your Unique Needs
Whether you’re looking for a simple cleaning or a complete smile makeover, Brandon Dental Care offers expert solutions in a welcoming environment. Explore how we can help you achieve a healthier, more confident smile today.
Invisalign or Financing
Something Special We Offer
Contact us today to learn more about the trusted brands we work with!
Improve Your Smile
Schedule Your Appointment Today
Take the first step towards a healthier, more confident you!
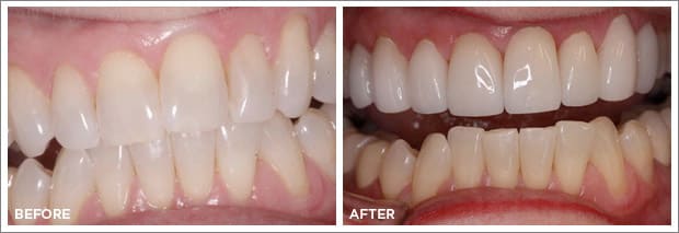
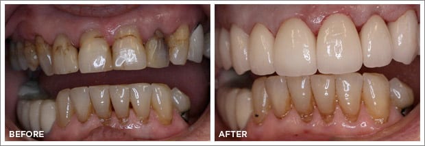
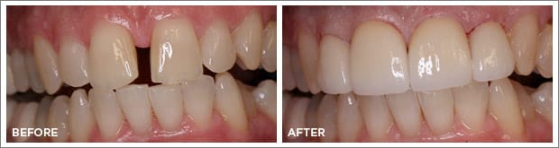
Gallery
Before & After
See the incredible transformations in our before and after gallery and discover what’s possible for your smile.













